Cabinet d'Orthodontie des Docteurs Kim TRAN-MINH & Amandine BESSON
Spécialistes qualifiés en Orthodontie de l'Enfant et de l'Adulte
5 Boulevard de la Marne, 76000 Rouen
+33 2 35 88 05 05

Blog - Page 31

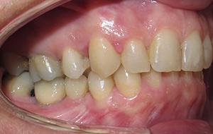
CAS 5 : AMENAGEMENT D'UN ESPACE DANS LE SENS VERTICAL AVANT LA POSE DE COURONNES SUR IMPLANTS

CAS 5 : AMENAGEMENT D'UN ESPACE DANS LE SENS VERTICAL AVANT LA POSE DE COURONNES SUR IMPLANTS

Cas 5 : Aménagement d'un espace dans le sens vertical avant la pose de couronnes sur implants

MACHOIRE INFERIEURE EN RETRAIT ET INCISVES SUPERIEURES AVANCEES

MACHOIRE INFERIEURE EN RETRAIT ET INCISVES SUPERIEURES AVANCEES

-

MACHOIRE INFERIEURE EN RETRAIT

MACHOIRE INFERIEURE EN RETRAIT

-

MACHOIRE INFERIEURE EN AVANT

MACHOIRE INFERIEURE EN AVANT

Mâchoire inférieure en avant

CAS 4 : ASYMETRIE DES MACHOIRES

CAS 4 : ASYMETRIE DES MACHOIRES

Cas 4 : Asymétrie des mâchoires

CAS 5 : ARCADE MAXILLAIRE TROP ETROITE

CAS 5 : ARCADE MAXILLAIRE TROP ETROITE

Cas 5 : Arcade maxillaire trop étroite

Affichage des articles 181-186 sur 188

Création par Webdentiste

Connexion