Cabinet d'Orthodontie des Docteurs Kim TRAN-MINH & Amandine BESSON
Spécialistes qualifiés en Orthodontie de l'Enfant et de l'Adulte
5 Boulevard de la Marne, 76000 Rouen
+33 2 35 88 05 05

CAS 5 : AMENAGEMENT D'UN ESPACE DANS LE SENS VERTICAL AVANT LA POSE DE COURONNES SUR IMPLANTS


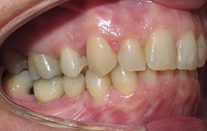
Traitement réalisé chez une patiente de 46 ans, chez laquelle plusieurs dents avaient été extraites sans solution de remplacement. Un prémolaire s'était égressée et empêchait la réalisation d'une couronne sur implant à l’arcade opposée. 

Le traitement orthodontique a permis d'ingresser (de remonter la prémolaire) et de fermer l'espace existant, ainsi les implants et couronne sur implants ont pu être réalisés dans de bonnes conditions. La durée du traitement a été de 24 mois. 


Articles similaires

Création par Webdentiste

Connexion