Cabinet d'Orthodontie des Docteurs Kim TRAN-MINH & Amandine BESSON
Spécialistes qualifiés en Orthodontie de l'Enfant et de l'Adulte
5 Boulevard de la Marne, 76000 Rouen
+33 2 35 88 05 05

CAS 1 : AMENAGEMENT D'UN ESPACE POUR REMPLACER UNE CANINE SUPERIEURE ABSENTE


AMÉNAGEMENT D'UN ESPACE POUR REMPLACER UNE CANINE SUPÉRIEURE ABSENTE

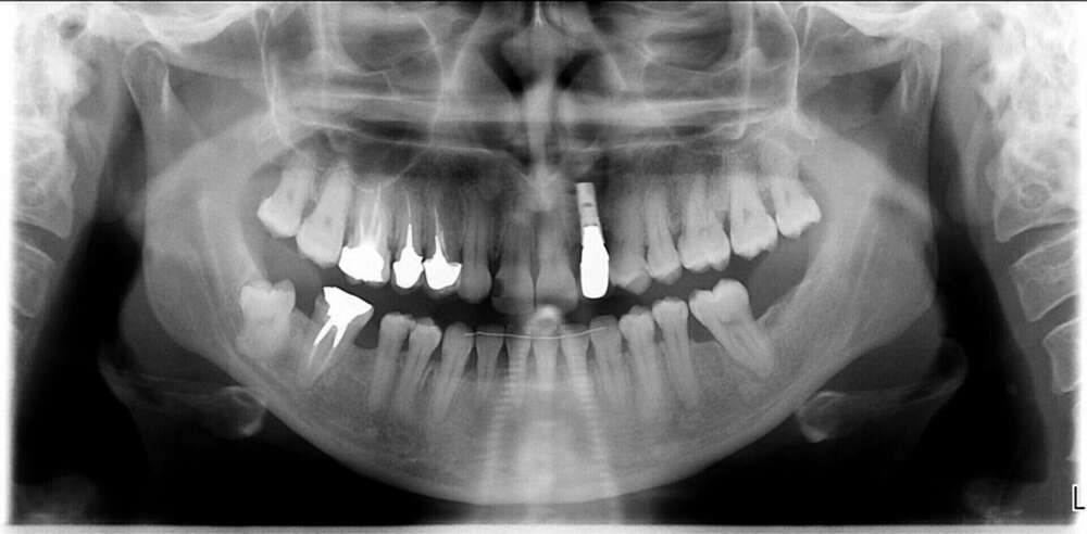
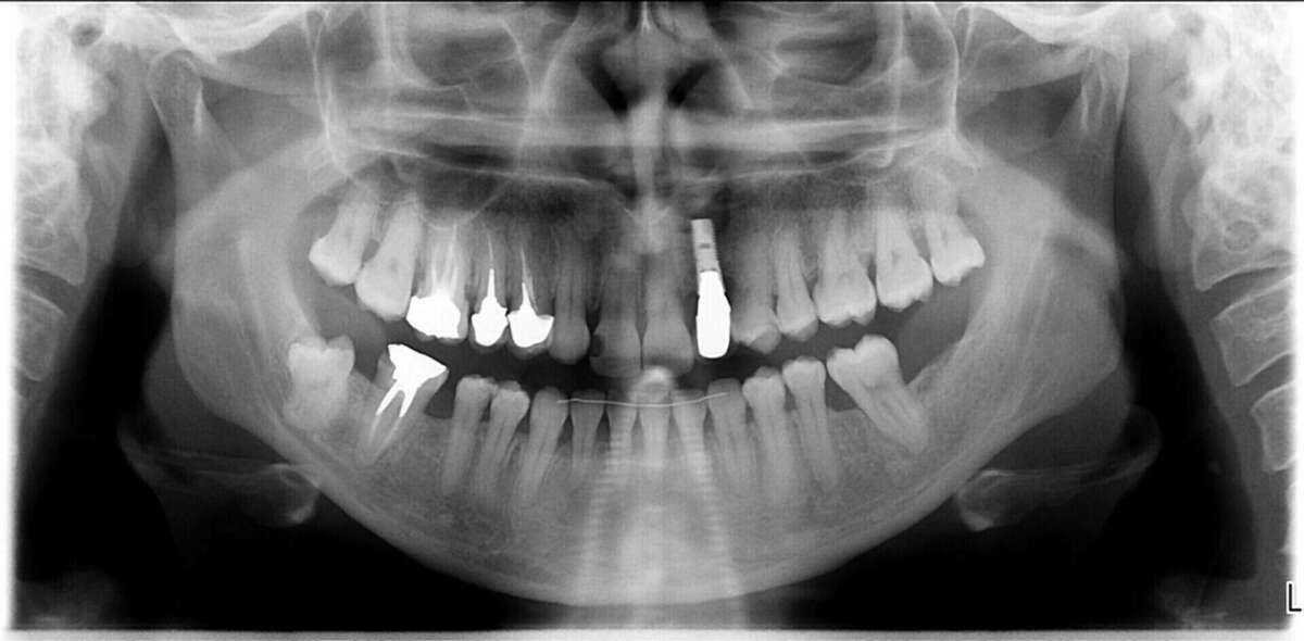
Traitement réalisé chez une femme de 33 ans. La patiente présentait l’absence des deux incisives latérales maxillaires (= agénésies), la canine de lait maxillaire gauche était encore sur arcade et la canine définitive, incluse dans l’os en position haute et oblique. Il a été choisi d’extraire la canine incluse et la canine de lait afin de poser un implant dans ce site. Le traitement orthodontique a permis d’aménager un espace de diamètre identique à la canine droite, de corriger les malpositions et d’améliorer l’engrainement entre les dents maxillaires et mandibulaires. Le traitement a duré 30 mois.



Articles similaires

Création par Webdentiste

Connexion