Les appareils autoligaturants utilisent des boîtiers spécifiques permettant de supprimer les ligatures des appareils conventionnels.
Blog - Page 30
La période de contention est l’étape qui suit le traitement orthodontique actif. Les appareils de contention ont pour rôle de maintenir le résultat obtenu et de garantir la stabilité de votre traitement.
Cas 1 : Aménagement d'un espace pour remplacer une canine supérieure absente
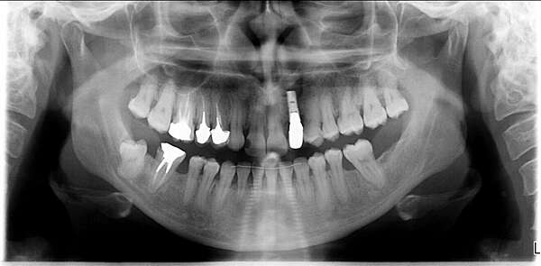
Aménagement d'un espace pour remplacer une molaire délabrée
"Aménagement d'un espace pour remplacer une incisive latérale absente"
Cas 4 : Orthodontie avant le remplacement d'une canine délabrée
Affichage des articles 175-180 sur 188





