Cabinet d'Orthodontie des Docteurs Kim TRAN-MINH & Amandine BESSON
Spécialistes qualifiés en Orthodontie de l'Enfant et de l'Adulte
5 Boulevard de la Marne, 76000 Rouen
+33 2 35 88 05 05

AMENAGEMENT D'UN ESPACE POUR REMPLACER UNE MOLAIRE DELABREE


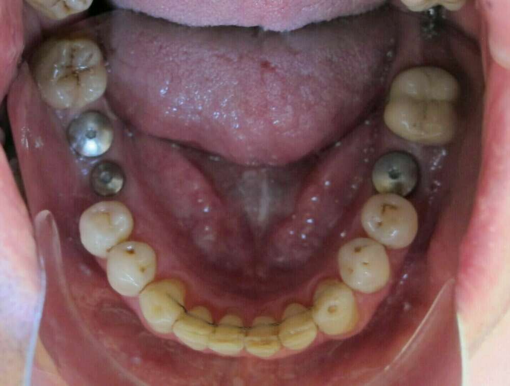
AMÉNAGEMENT D'UN ESPACE POUR REMPLACER UNE MOLAIRE DÉLABRÉE

Traitement réalisé chez un homme de 41 ans. Les premières molaires maxillaire et mandibulaire droites étaient délabrées. Le chirurgien-dentiste souhaitait qu’après les extractions des racines résiduelles, les espaces soient aménagés pour la pose d’implants. Le traitement orthodontique a permis également de déplacer la prémolaire maxillaire droite pour fermer l’espace existant et de corriger les malpositions incisives. La durée du traitement a été de 24 mois.



Articles similaires

Création par Webdentiste

Connexion