Les appareils multi-attaches (ou bagues orthodontiques) sont une solution courante pour corriger l’alignement des dents. Ce traitement repose sur des attaches fixées sur les dents, reliées entre elles par un fil métallique, permettant de les déplacer progressivement vers une position idéale. Voici une présentation des principales options disponibles :
Appareils multi attaches en orthodontie
Infos du mois
Cas 10 : Orthodontie pré-prothétique
Cas 9 : Fermeture d'un diastème inter-incisif
Cas enfant d'encombrement et agénésie traité par les docteurs Kim TRAN-MINH et Amandine BESSON.
Le « syndrome du fil » se manifeste par des déplacements imprévus de certaines dents
Votre orthodontiste vous proposera la technique la plus adaptée à votre malocclusion. Les techniques proposées ce dessous concernent l'alignement dentaire. Les appareils à visée orthopédique ou fonctionnelle sont présentées dans une autre fiche conseil.
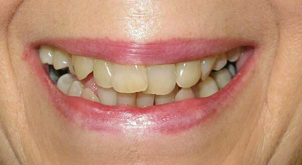
Le traitement orthodontique chez cette jeune femme de 26 ans a permis d’améliorer le contour gingival au niveau des incisives du bas. En effet l’encombrement initial avait entrainé une récession gingivale sur l’une des incisives. Le repositionnement des dents a permis d’harmoniser le contour gingival, sans recours à une greffe gingivale.
Différentes précautions et un entretien quotidien permettront de conserver votre appareil mobile en bon état pendant la durée du traitement.
Cas 8 : MALPOSITIONS DENTAIRES ET EXTRACTION D'UNE INCISIVE MANDIBULAIRE
Traitement réalisé chez une jeune femme de 34 ans, présentant de multiples agénésies (dents manquantes). La patiente souhaitait combler les espaces de ces dents absentes par la pose d'implants et de couronne sur implants. Le traitement orthodontique a permis d'aménager des espaces de bonnes dimensions pour les implants tout en améliorant l'occlusion (l'emboitement des dents). Des facettes ont été intégrées à l'appareil orthodontique pour permettre à la patiente de vivre son traitement orthodontique plus sereinement en attendant la pose des implants et couronne sur implants.
Dans certains de traitement, des petites vis peuvent être placées dans la partie osseuse afin d’avoir un ancrage orthodontique solide.
Cas 2 : surplomb et extraction d'une prémolaire
Le port d'un appareil dentaire demande une période d’adaptation et un certain nombre de précautions.
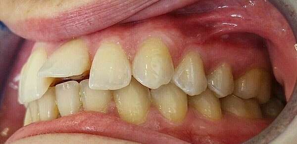
Alignement avant la pose d'un implant incisif maxillaire sur un parodonte réduit
Un traitement orthodontique, est-ce douloureux ? Combien ça coûte ? Nos réponses à vos questions. Votre praticien reste toutefois votre interlocuteur privilégié.
Avant de débuter le traitement, il convient cependant d’être informé du fait que toute démarche médicale, odontologique ou orthodontique, implique des contraintes, des limites et éventuellement des complications et des risques thérapeutiques, voire même des contre-indications. En étant informé et en coopérant parfaitement avec le praticien, ces derniers pourront être minimisés et vous serez à même d’obtenir ainsi les résultats thérapeutiques les meilleurs.
Un traitement orthodontique doit s’accompagner d’une hygiène dentaire irréprochable. Sinon de nombreuses et volumineuses caries risquent de se développer à bas bruit.
Faire le choix d’un traitement orthodontique est une décision importante et réfléchie. Son succès est d'abord lié à une bonne communication avec le praticien.
Invisalign® est un traitement orthodontique basé sur le port successif d’une série de gouttières transparentes en plastique, fabriquées à partir des empreintes dentaires du patient.
La chirurgie orthognatique est une branche de la chirurgie maxillo-faciale. Elle permet de corriger certains déséquilibres entre les mâchoires, lorsque ceux-ci sont trop importants pour être traités uniquement par l’orthodontie et lorsqu'il n'y a plus de croissance.
La période de contention est l’étape qui suit le traitement orthodontique actif. Les appareils de contention ont pour rôle de maintenir le résultat obtenu et de garantir la stabilité de votre traitement.
Aménagement d'espace pour remplacer 3 prémolaires et fermer une béance
























