Cabinet d'Orthodontie des Docteurs Kim TRAN-MINH & Amandine BESSON
Spécialistes qualifiés en Orthodontie de l'Enfant et de l'Adulte
5 Boulevard de la Marne, 76000 Rouen
+33 2 35 88 05 05

Blog - Page 16

La pose de vernis fluoré pour les enfants et les jeunes adultes de 3 à 24 ans

La pose de vernis fluoré pour les enfants et les jeunes adultes de 3 à 24 ans

Le fluor, par voie générale ou en application locale, joue un rôle essentiel dans la protection des dents de l’enfant.

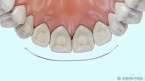
Fil de contention

Fil de contention

Parodontite et formation de la poche parodontale

Parodontite et formation de la poche parodontale

Traitement multi-attaches

Traitement multi-attaches

Orthodontie : idées reçues, idées revues

Orthodontie : idées reçues, idées revues

L'orthodontie : une affaire de spécialistes

L'orthodontie : une affaire de spécialistes

Affichage des articles 91-96 sur 188

Création par Webdentiste

Connexion